Estimated reading time: 4 minutes
Table of contents
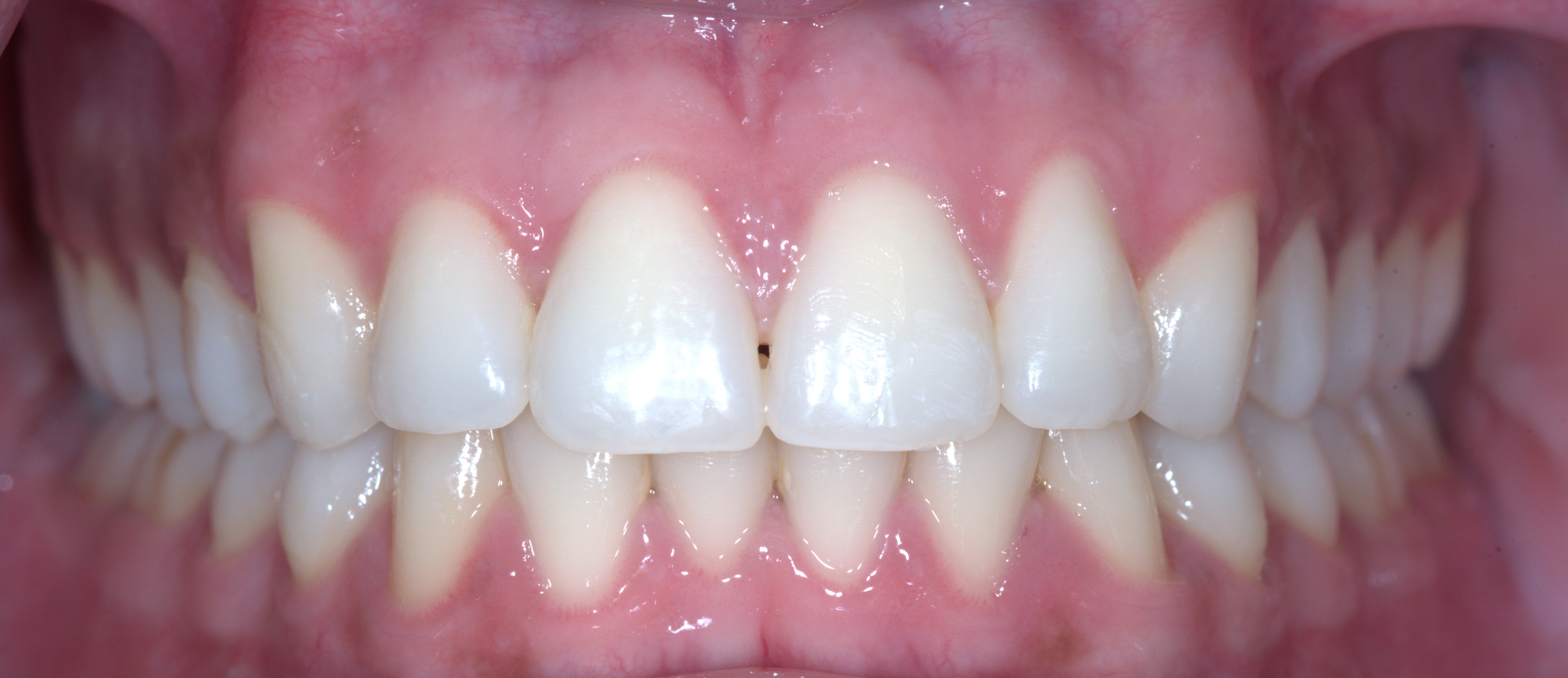
A beautiful smile is not only about straight, white teeth but also about healthy, aesthetically pleasing gums. For some individuals, dark or uneven gum pigmentation can affect their confidence and overall smile appearance. Fortunately, modern dentistry offers an effective solution: gum depigmentation.
What is Gum Depigmentation?
Gum depigmentation, also known as gum bleaching, is a cosmetic dental procedure designed to lighten or remove excess melanin and pigmentation from the gums. This treatment helps create a more uniform and natural-looking pink appearance, enhancing the overall aesthetics of the smile.
Causes of Dark Gums
Dark gums are often a result of excessive melanin production, which is usually genetic. However, other factors can contribute to gum pigmentation, including:
- Physiologic Pigmentation – Presence of Melanin pigments in the gum can create a dark gum.
- Smoking – Tobacco use can lead to darkened gums due to increased melanin production.
- Certain Medications – Some medications may cause pigmentation changes in the gum tissue.
- Medical Conditions – Conditions like Addison’s disease can lead to hyperpigmentation of the gums.
- Poor Oral Hygiene – Although less common, inadequate oral care can contribute to gum discoloration.
Gum Depigmentation Techniques
There are several methods available for gum depigmentation, including:
1. Laser Gum Depigmentation
Laser therapy is one of the most advanced and effective techniques for treating gum pigmentation. A dental laser gently removes the outer pigmented layer of the gum tissue, stimulating healthy, new cell growth. The procedure is minimally invasive, with little to no discomfort and a short recovery period.
2. Surgical / Abrasive Gum Peeling
This traditional method involves using a scalpel or a bur to remove the pigmented gum tissue manually. While effective, it may require a slightly longer healing time compared to laser treatment.
3. Chemical Peeling
Chemical agents, such as phenols, can be applied to the gums to remove the pigmented layer. However, this technique is less commonly used due to the availability of more advanced methods like laser therapy.
Benefits of Gum Depigmentation
- Enhanced Aesthetics – Achieves a more uniform, pink gum appearance that complements natural teeth.
- Minimally Invasive – Laser treatments are gentle and require minimal downtime.
- Long-Lasting Results – Depending on the cause of pigmentation, results can last for years.
- Boosts Confidence – Helps patients feel more comfortable with their smile.
Aftercare and Recovery
After the procedure, patients may experience mild discomfort or sensitivity, which usually resolves within a few days. Proper oral hygiene and avoiding tobacco use can help maintain the results. Regular dental check-ups ensure continued gum health and prevent recurrence of pigmentation.
Is Gum Depigmentation Right for You?
If you are self-conscious about dark gums and want to achieve a brighter smile, gum depigmentation may be a great option for you. A consultation with a dental professional can help determine the best treatment approach based on your specific needs.
At Mazza Center for Implant and Aesthetic Dentistry, we perform advanced cosmetic procedures, including gum depigmentation, to help you achieve the confident smile you deserve. Contact us today to learn more about how we can enhance your smile aesthetics!
FAQ
Gum depigmentation is a cosmetic dental procedure used to remove dark spots or patches from the gums. It involves the removal of excess melanin, which is the pigment responsible for the dark appearance of gums, leaving a brighter and more uniform smile.
People may seek gum depigmentation to improve the appearance of their gums, especially if they have dark spots caused by smoking, genetics, or other factors. It can help enhance the overall look of your smile, creating a more aesthetically pleasing balance between your teeth and gums.
Gum depigmentation is typically performed using a laser or scalpel to remove the pigmented tissue. The procedure is minimally invasive, and a local anesthetic is used to ensure that you are comfortable during the treatment. Healing time is usually quick, with minimal discomfort.
Gum depigmentation is generally not painful due to the use of local anesthesia. After the procedure, you may experience some mild discomfort or swelling, but this can be managed with over-the-counter pain relievers. The recovery time is typically short.
The results of gum depigmentation can last for several years, but they may vary depending on individual factors like lifestyle and oral hygiene. Maintaining good oral care and avoiding habits like smoking can help prolong the effects of the treatment.
The primary benefit of gum depigmentation is the cosmetic improvement of your smile. It can help create a more even, lighter gum color that enhances the appearance of your teeth. Additionally, the procedure is relatively quick, minimally invasive, and has a fast recovery time.
Yes, gum depigmentation is a safe procedure when performed by a trained dental professional. It is a minimally invasive treatment with few risks, and the side effects are typically mild and temporary. Always choose an experienced dentist for the best results.
The cost of gum depigmentation can vary depending on the location, the dentist’s expertise, and the complexity of the procedure. On average, the procedure can cost anywhere from $300 to $1,000. It’s best to consult with your dentist for an accurate estimate.
Yes, gum depigmentation can be combined with other cosmetic dental procedures such as teeth whitening, veneers, or dental implants to enhance the overall appearance of your smile. Consult with your dentist to determine the best treatment plan for your needs.
After the procedure, you should follow your dentist’s instructions for post-care. This may include avoiding spicy or acidic foods, using a soft toothbrush, and taking pain relievers if necessary. It’s also important to avoid smoking, as it can negatively affect the healing process.
At Mazza Center for Implant & Aesthetic Dentistry, we are committed to delivering exceptional general, family, dental implants and cosmetic dentistry services in a welcoming and comfortable environment. Our range of services include: Family and General Dentistry, Cosmetic Dentistry, Dental Implants, Sedation (Comfortable, reduced pain and anxiety), CEREC (same day dentistry, Crowns, Porcelain Laminate Veneers, Inlays, Onlays, Bridges), Invisalign and other dental services (call for details).
Conveniently located in downtown Bethesda, MD, we proudly serve Montgomery County Maryland and neighboring communities, including Chevy Chase, Friendship Heights, Rockville, Potomac, Olney, Gaithersburg, North Bethesda, Kensington, Wheaton, Silver Spring, NW Washington, DC and other areas. We proudly serve zips codes: 20001 ,20002, 20003, 20004, 20005, 20006, 20007, 20008, 20009, 20010, 20011, 20012, 20015, 20016, 20017, 20018, 20019, 20020, 20024, 20032, 20036, 20037, 20045, 20052, 20057, 20059, 20064, 20190, 20191, 20194, 20204, 20220, 20230, 20240, 20245, 20250, 20260, 20317, 20319, 20373, 20388, 20390, 20408, 20415, 20418, 20422, 20427, 20431, 20510, 20515, 20520, 20530, 20535, 20540, 20542, 20551, 20560, 20565, 20566, 20591, 20705, 20706, 20707, 20708, 20710, 20712, 20722, 20737, 20740, 20742, 20743, 20745, 20746, 20747, 20748, 20759, 20770, 20771, 20777, 20781, 20782, 20783, 20784, 20785, 20812, 20814, 20815, 20816, 20817, 20818, 20832, 20833, 20850, 20851, 20852, 20853, 20854, 20855, 20860, 20861, 20862, 20866, 20868, 20877, 20878, 20879, 20880, 20889, 20892, 20894, 20895, 20896, 20899, 20901, 20902, 20903, 20904, 20905, 20906, 20910, 20912, 22003, 22027, 22031, 22041, 22042, 22043, 22044, 22046, 22066, 22101, 22102, 22124, 22150, 22151, 22180, 22181, 22182, 22201, 22202, 22203, 22204, 22205, 22206, 22207, 22209, 22211, 22213, 22214, 22301, 22302, 22303, 22304, 22305, 22307, 22310, 22311, 22312, 22314 and other zip codes. Free parking is available. We are bus and metro accessible.

Comments